Leboard.ruВыбор пользователей Яндекс– Выбор пользователей по данным Яндексаi Знак “Выбор пользователей” получают сайты с высокой степенью вовлечённости и лояльности пользователей по данным Яндекса
open chatПодать объявлениевверх

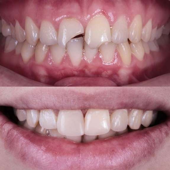
Стоматологический комплекс в Марьино - ПрезиДЕНТ

1 000 ₽
Стоматологический комплекс в Марьино - ПрезиДЕНТ
Стоматологический комплекс в Марьино - ПрезиДЕНТ в Москве
Стоматологический комплекс в Марьино - ПрезиДЕНТ в Москве фото 3
Услуги:
хирургия, эстетическая стоматология, эндодонтия, имплантология, рентгенография, ортодонтия, челюстно-лицевая хирургия, протезирование, терапия, френулопластика, пломбирование, удаление зубов, отбеливание, лечение кариеса, виниры, брекеты, гигиена зубов, коронки, лечение дёсен, лечение каналов, компьютерная томография, костная пластика, лечение периодонтита, реставрация зубов.
Местоположение
Москва, Россия
Показать на карте
Более месяца назад, 45 просмотров Пожаловаться